لقد هزمت التطورات الطبية العديد من الأمراض القاتلة التي لا هوادة فيها في العقود الأخيرة، مثل السرطان وأمراض القلب. ويعود الفضل في ذلك لمجموعة واسعة من العلاجات: الجراحة، والأدوية، والإشعاع، والعلاجات الجينية، والعادات الصحية. وقد انخفضت معدلات الوفيات بهذين المرضين، وهما السببان الرئيسيان للوفاة في الولايات المتحدة، انخفاضًا حادًا. ولكن في ظل شيخوخة السكان، اتجهت معدلات وفيات الزهايمر في الاتجاه المعاكس.
عرض النقاط الرئيسية
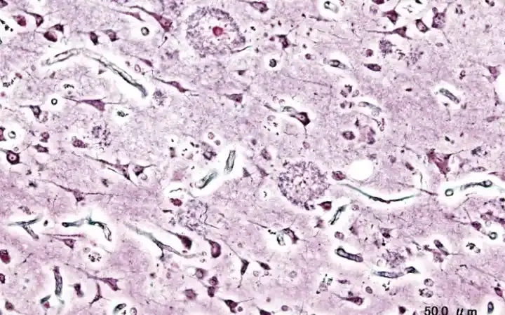
يُصيب هذا المرض ما يقرب من سبعة ملايين أمريكي، أي ما يُقارب واحدًا من كل تسعة أشخاص فوق سن الخامسة والستين، مما يجعله سببًا رئيسيًا للوفاة بين كبار السن. ويعاني ما يصل إلى 420 ألف بالغ في ريعان شبابهم - بمن فيهم أشخاص لا تتجاوز أعمارهم الثلاثين عامًا - من مرض الزهايمر المبكر. ومن المتوقع أن يتضاعف العدد السنوي لحالات الخرف الجديدة بحلول عام 2050. ومع ذلك، ورغم عقود من البحث، لم يُبتكر علاج يُوقف التدهور المعرفي المُصاحب لمرض الزهايمر، ناهيك عن عكس مساره. ويعود هذا النقص المُريع في التقدم جزئيًا إلى التعقيد اللانهائي للدماغ البشري، والذي شكّل تحدياتٍ جسيمة حتى الآن. وقد كافح العلماء والممولون وشركات الأدوية لتبرير إنفاق مليارات الدولارات واتباع مساراتٍ مهنيةٍ مسدودة. ولكن هناك عاملٌ آخر، خبيث، يلعب دورًا. على مدى السنوات الخمسة والعشرين الماضية، عانت أبحاث مرض الزهايمر من سلسلة من عمليات الاحتيال المزعومة وسوء السلوك من قِبل باحثين مشهورين عالميًا وعلماء مغمورين على حد سواء، يسعون جميعًا إلى الصعود في مجال تنافسي شرس. خلال سنوات من التحقيقات الاستقصائية، كشفت العديد من هذه الحالات .
قراءة مقترحة
لنأخذ على سبيل المثال عالم الأعصاب الموقر إليعازر ماسليا، الذي ساهمت أبحاثه الرائدة في تشكيل تطوير علاجات لفقدان الذاكرة ومرض باركنسون، والذي عُهد إليه في عام 2016 بقيادة الجهود الموسعة للمعهد الوطني للشيخوخة لمعالجة مرض الزهايمر. مع ما يقرب من 800 بحثا باسمه، يُعتبر الكثير منها مؤثرًا للغاية، بدا الدكتور ماسليا الخيار الأمثل لتوجيه المشروع، مع تمويل جديد بمليارات الدولارات. وقد أشاد بهذه اللحظة باعتبارها فجر "العصر الذهبي لأبحاث مرض الزهايمر". في سبتمبر الماضي، في مجلة "ساينس"، وصفت أدلةً على أن أبحاث الدكتور ماسليا، على مدى عقود، تضمنت صورًا مُعدّلة بشكل غير صحيح لأنسجة الدماغ وصورًا تقنية أخرى - وهي علامة واضحة على الاحتيال. احتوت العديد من دراساته على ما يبدو على صور "ويسترن بلوت" مزيفة - وهي صور علمية تُظهر وجود بروتينات في عينة دم أو نسيج. ويبدو أن بعض هذه الصور نفسها استُخدمت مرارًا وتكرارًا، مُقدّمةً بشكل زائف على أنها أصلية، في أوراق بحثية مختلفة على مر السنين. (عند التواصل مع الدكتور ماسليا بشأن القصة، رفض الرد). صحيح أن بعض التشوهات في الصور قد تكون أخطاءً ناتجة عن عملية النشر. وقد تحتوي صور أخرى على تشوهات بصرية غير ضارة أو أخطاء بشرية تبدو أحيانًا وكأنها تلاعب بالصور. ولكن في بعض الحالات، أقنع حجم الأدلة وطبيعتها (وفشل المؤلفين في تقديم بيانات وصور خام وأصلية لتوضيح أي لبس) خبراء خارجيين بحدوث أمر أكثر إثارة للقلق. أعلنت المعاهد الوطنية للصحة اكتشافها أن الدكتور ماسليا تورط في سوء سلوك بحثي، وأنه لم يعد يشغل منصبه القيادي في المعهد الوطني للشيخوخة.
جسّد الدكتور ماسليا حالةً من الضيق الشديد في هذا المجال، وهي أزمة تتجاوزه بكثير. واجه العديد من باحثي مرض الزهايمر، بمن فيهم بعضٌ ممن كانوا يُعتبرون من ألمع الشخصيات، مؤخرًا مزاعم موثوقة بالاحتيال أو سوء السلوك. وقد شوّهت هذه الخدع مسار أبحاث مرض الزهايمر وتطوير الأدوية، مما أثار مخاوف بالغة بشأن كيفية تقويض الجهات الفاعلة السيئة، والتفكير الجماعي، والحوافز البحثية المنحرفة، لمساعي إيجاد العلاجات والأدوية. وما يؤرق أن هذا ربما يكون قد عرّض سلامة المرضى للخطر. طلب من فريق من خبراء الدماغ والتصوير العلمي المساعدة في تحليل دراساتٍ مشبوهة أجراها 46 باحثًا رائدًا في مرض الزهايمر. هذه محاولة لتقييم منهجي لمدى تلاعب الصور لدى مجموعة واسعة من العلماء الرئيسيين الباحثين في أي مرض. وحدد الخبراء مجتمعين ما يقرب من 600 ورقة بحثية مشكوك فيها من المجموعة، والتي شوهت المجال - أوراق بحثية تم الاستشهاد بها حوالي 80,000 مرة في الأدبيات العلمية. أشار العديد من أبرز علماء الزهايمر - الذين تُوجّه أعمالهم الخطاب العلمي - مرارًا وتكرارًا إلى تلك الدراسات المُضلّلة لدعم أفكارهم. وقد أضرّ هذا بقاعدة المعرفة الراسخة في هذا المجال. في بعض الحالات، قد يكون لمشاكل البيانات تفسيرٌ بريء. قد لا يكون بعض الباحثين الذين وضعوا أسماءهم على الأوراق البحثية على دراية بالأخطاء التي ارتكبها الباحثون المشاركون، ولكن من المرجح أن تنطوي حالات أخرى على إهمال جسيم وسوء سلوك واحتيال صريح. إن مثل هذه المخالفات في أي بحث متعلق بالصحة أمرٌ مؤسف. لكن الاحتيال في السعي وراء علاجات الزهايمر مأساويٌّ بشكل خاص لأنه مرضٌ مُنفصل، ومختلفٌ في نوعه عن غيره من الأمراض الرئيسية القاتلة للشيخوخة. يبدأ عادةً بالتدهور التدريجي لقدرة الشخص على ممارسة الأنشطة الروتينية، ثم سرقة الذكريات العزيزة، وأخيرًا سرقة الهوية ذاتها التي تُميّز كل واحد منا. تواجه عائلات مرضى الزهايمر تكاليف عاطفية لا تُحصى. في الولايات المتحدة، يُقدم أكثر من 11 مليون فرد من أفراد الأسرة ومقدمي الرعاية غير مدفوعي الأجر (مثل الأصدقاء والجيران) الرعاية لآباء وأمهات وأزواج وأجداد وقعوا فريسة للخرف. وهذا يعني بالنسبة للكثيرين فقرًا ماليًا. قدّم هؤلاء مقدمو الرعاية في الولايات المتحدة ما يعادل حوالي 350 مليار دولار أمريكي لرعاية مرضى الخرف في عام 2023 - وهو ما يُعادل تقريبًا المبلغ المدفوع لرعاية الخرف من جميع المصادر الأخرى، بما في ذلك برنامج الرعاية الطبية (ميديكير). يحتاج العالم بشدة إلى علاج، مما يجعل أي سوء سلوك أكثر خطورة.
معهد مارانغوني والهيئة العامة للأزياء شريكان في تعليم الموضة في المملكة العربية السعودية
طفرة في النباتات يمكن أن تقلل بشكل كبير من الحاجة إلى الأسمدة: استكشاف شامل
معبد كوم أمبو حلقة بين الماضي والحاضر
السيارات المزودة بأنظمة التعرف على السائق: ثورة السلامة أم رفاهية بلا معنى؟
كيف تحافظ المجتمعات العربية على لغتها وتراثها؟
مثلث برمودا: لماذا تختفي فيه الطائرات والسفن؟
الآثار الرومانية في بعلبك بلبنان
يكاترينبورغ: عبق التاريخ على حدود آسيا وأوروبا
١٠ نصائح هامة للعناية بالأظافر و تغذيتها
المهرجان الثقافي الدولي في المدينة المنورة بالمملكة العربية السعودية يسلط الضوء على التقاليد العالمية










